ご予約希望の病院をお選びください。
2025.10.13
ブログをご覧の皆さま、こんにちは!
動物メディカルセンター獣医師の新川です。
夏の暑さもかなり和らぎ、涼しくて過ごしやすい季節になってきましたね🍂
当院では毎年恒例の『秋の敬老月間』、今年もスタートしております!
ご長寿のわんちゃん、ねこちゃん、うさぎさんのお写真を撮らせていただき、待合に掲示しています🌟

↑箕面病院

↑高槻病院
みなさんシニアになっても可愛さはパワーアップ中なので、来院の際は、ぜひご覧ください!
さて、シニアになってきて、おうちの子にこんな変化は見られていませんか?
〇歩くのが遅くなってきた
〇歩き方が若いころと比べてよたよたしている
〇日中も寝てばかり
〇キャットタワーに登らなくなった
〇ジャンプする時にためらう様子がある
などなど…
これらの症状には、実は「変形性関節症」という病気が隠れている可能性があります。
変形性関節症とは、肘や膝、股関節などの関節が変形し、痛みにより動きづらくなる慢性的な疾患です。
わんちゃんの場合、歩き方の変化が現れることが多いですが、ねこちゃんではなかなか歩き方の変化は見られません。しかし、12歳以上のねこちゃんの90%に、この変形性関節症の疑いがあるというデータもあるため、注意が必要です。
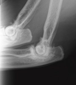
実は、今年6月に18歳で亡くなった院内猫のさつきちゃんも、重度の変形性関節症を持っていました。

(↑おばあちゃんになっても美人なさつきちゃん🐈)

↑さつきちゃんの肘のレントゲン写真
肘の関節の骨がボコボコと変形しています
この疾患は治るものではないため、治療は基本的に痛みのコントロールになります。
さつきちゃんの場合は、1か月痛み止めの効果が続く注射を、毎月頑張ってくれていました。

〈https://www2.zoetis.jp/species/cats/oapain/solensia/vets/outline〉ホームページより
注射や薬以外にも、関節の負担を減らすために、適正な体重へのダイエットも重要になります。
また、関節の痛みによって活動性が低下し、筋肉量が減少してしまっている子も多くみられます。当院ではシニアリハビリも行っているため、お気軽にご相談ください。
「うちの子ももう年だからね~」と思ってらっしゃる方も多いと思いますが、症状を緩和できる可能性があります。
特にねこちゃんは、痛みを隠す生き物です。ご家族の皆さまが、日常のちょっとした行動の変化に、ぜひ気がついてあげてください!